분당 임플란트 식립 전 고려해야 할 사항은

분당 임플란트 식립 전 고려해야 할 사항은

안녕하세요. 지금 당장 심하지 않은 문제라 하더라도 오래 방치하면 자연치아가 없어지고 여러 가지 불편함이 커지므로 적기에 올바른 조치를 취하는 것이 무엇보다 중요하다는 것을 알아야 했습니다. 자연치아를 대체하는 대표적인 방법으로는 분당 임플란트가 있는데, 이를 통해 자연치아와 유사한 심미성과 기능성을 되찾을 수 있는 것은 사실이지만 수술 및 치료 과정에서 후속 문제가 발생할 수 있으므로 충분한 상담과 신중한 판단이 요구됨을 잊지 마시기 바랍니다.

보다 섬세하고 꼼꼼한 케어를 위해

기존 임플란트도 기능이 우수한 편이었지만 여기에 신개념 나노기술을 적용하면 더 빠르고 튼튼하며 오래가는 임플란트를 완성할 수 있었습니다. 우수한 혈액 습성으로 일반 임플란트에 비해 우수한 수치를 보임으로써 3주 만에 골 유착을 완성할 수 있기 때문에 현재 임플란트를 고려하고 있다면 이러한 방법을 적극적으로 이용하여 긍정적인 예후를 기대하는 것이 현명하다고 말씀드리고 싶었습니다.

식립 시 많은 시간이 소요되면 중간에 전문의가 교체되는 상황이 불가피하게 발생하기도 했습니다. 하지만 위 기관들은 대표원장이 진단부터 사후 조치까지 계속 함께 하기 때문에 이러한 우려를 줄일 수 있었습니다. 따라서 처음부터 끝까지 일관된 진료를 안내받을 수 있는 곳에서 자연치아와 비슷한 임플란트를 재현함으로써 삶의 질 향상을 기대해 보시기 바랍니다.

치아는 심미적으로나 기능적으로나 매우 중요한 역할을 했습니다. 즉, 이러한 기능에 불편이 생기는 상황을 방지하기 위해서라도 꾸준한 치료를 필요로 하는 것이 좋았습니다. 하지만 각각의 고민은 다를 수밖에 없기 때문에 모든 과목을 망라할 수 있고, 많은 임상 경험과 지식을 보유한 통합 치과 전문의가 상주하는 곳을 찾아 고민의 답을 찾는 것이 좋은 시도가 되었습니다.

일반적으로 잇몸이 붓고 피가 나기 시작해서 문제를 인지하는 경우가 많은데 바로 사용하는데 무리가 없으면 내원을 연기하기도 했습니다. 하지만 나중에는 이것이 치아 상실의 원인이 될 수 있는 만큼 치주과 전문의가 상주하는 곳에서 적시에 올바른 조치를 취하도록 해야 했습니다.

임플란트 기술이 워낙 우수하기 때문에 이에 의존하는 분들이 꾸준히 늘고 있었습니다. 하지만 단언컨대 우리의 자연치아보다 나은 것은 없으므로 자연치아를 지키고 살리는 치료를 우선해야 하며 임플란트는 반드시 필요한 상황에서만 높은 수준의 수술을 추구하고 받을 수 있도록 해야 함을 알려드립니다.

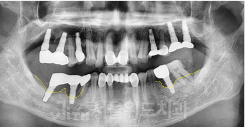
많은 분들이 치아가 상실되는 문제를 겪고 있다 하더라도 원인, 상실된 기간, 구강 환경 등에 따라 다양한 방법의 임플란트가 적용될 수밖에 없다는 사실을 알아야 했습니다. 경험이 부족한 전문의와 함께하면 이러한 니즈를 고려할 수 없게 되고 결국 만족도가 낮아질 수 있기 때문에 고난도 임플란트 시술도 잘하는 전문의와 함께하여 건강한 구강 환경을 오래 유지할 수 있도록 해야 했습니다.게다가 잇몸뼈 상태를 확인하는 것도 중요하다고 생각해야 하는데 총 2회에 걸쳐 잇몸뼈 상태를 확인해야 보다 안정적인 수술을 할 수 있기 때문입니다. 따라서 이러한 과정을 거쳐 길고 안정적으로 사용할 수 있는 임플란트를 완성해야 했습니다.치아가 탈락하지 않고 단순히 손상된 경우에는 전악보철 풀마우스를 고려하는 것이 좋으나 이는 치아를 발치하여 식립하는 것이 아니라 신경치료와 지르코니아 크라운을 통해 전악을 재건하는 것이므로 자연치아 상실을 막으면서 잃어버린 심미성과 기능성을 되찾을 수 있다는 장점이 있었습니다.공석을 대체하는 것은 환자에게 단 한 번의 기회였을지도 모릅니다. 따라서 치과 선택이나 치료 방향을 설정하는 과정에 매우 신중해야 하지만 분당 임플란트를 해야 하는 상황임에도 불구하고 통증과 이차적인 문제에 대한 두려움으로 조치를 미루고 있다면 내비게이션 임플란트를 고려해 보면 좋은 시도가 되었습니다.내비게이션 임플란트는 기존 아날로그 인상 획득과 같은 불편한 과정 없이 임플란트를 완성할 수 있다는 장점을 가지고 있으므로 특히 신체적 기능이 약한 분들은 이러한 방법을 적극 이용해야 함을 알려드립니다.앞서 말했듯이 무절개로 적은 통증만으로 빠르게 시술할 수 있는 것은 사실이지만 무분별한 무절개는 오히려 임플란트를 오래 사용하지 못하게 할 수 있기 때문에 절개 여부는 의료진과 충분히 상의한 후 결정하도록 해야 했습니다.그리고 식립 각도의 오류는 잘못된 임플란트의 대표적인 예라고 할 수 있으므로 식립하기 전에 식립 위치, 깊이, 방향 등을 정밀하게 분석하여 단 0.1mm의 오차 범위도 놓치지 않도록 하는 것이 현명했습니다.이와 함께 개인 치열이나 잇몸 모양에 딱 맞게 제작된 맞춤 임플란트 지대주를 적용하면 후속 문제의 우려를 줄일 수 있으므로 이를 통해 완전한 임플란트를 위한 또 다른 조건을 충족할 수 있어야 했습니다.시간적 여유가 없으신 분들도 평일 야간 또는 주말에 진료하는 장소를 통해 여유롭게 치료받을 수 있었습니다.그리고 미리 예약을 해주시면 더 빨리 진료를 받을 수 있기 때문에 이를 통해 내원의 부담을 덜어드리는 것이 좋았습니다.화목요일에는 오후 9시까지, 주말에는 오후 2시까지 진료하여 환자 편의를 우선시하고 있어 적기에 올바른 진료를 받을 수 있었습니다.접근은 이미지를 통해 간단하지만 상세하게 확인할 수 있음을 알려드리며 이상으로 분당 임플란트에 대해 알아보는 시간을 가졌습니다.연세청춘치과의원 경기도 성남시 분당구 백현로101번길 11 동현프라자 201호연세청춘치과의원 경기도 성남시 분당구 백현로101번길 11 동현프라자 201호연세청춘치과의원 경기도 성남시 분당구 백현로101번길 11 동현프라자 201호